ADVANCED DENTISTRY & AESTHETICS

Overview
Dental bonding is a cosmetic dental procedure that involves the application of a tooth-colored resin material to repair or enhance the appearance of teeth. It is commonly used to treat chipped, cracked, or discolored teeth, as well as to close gaps and reshape teeth. Check out a few of our cases.

Featured Bonding Case

Bonding front four teeth: this patient came in after seeing bonding done on another of Dr Peterson’s patients. She wasn’t happy with previous bonding on her peg laterals and the grey translucency of her center teeth.

Bonding & Other Treatments

One of the options for enhancing the appearance of your teeth or smile in Park City, Salt Lake City, Midway and Heber, Utah, is direct bonding. Direct bonding, also referred to as tooth bonding or dental bonding, can solve a variety of cosmetic problems. Direct bonding can repair stained, chipped, gapped, decayed or misaligned teeth.

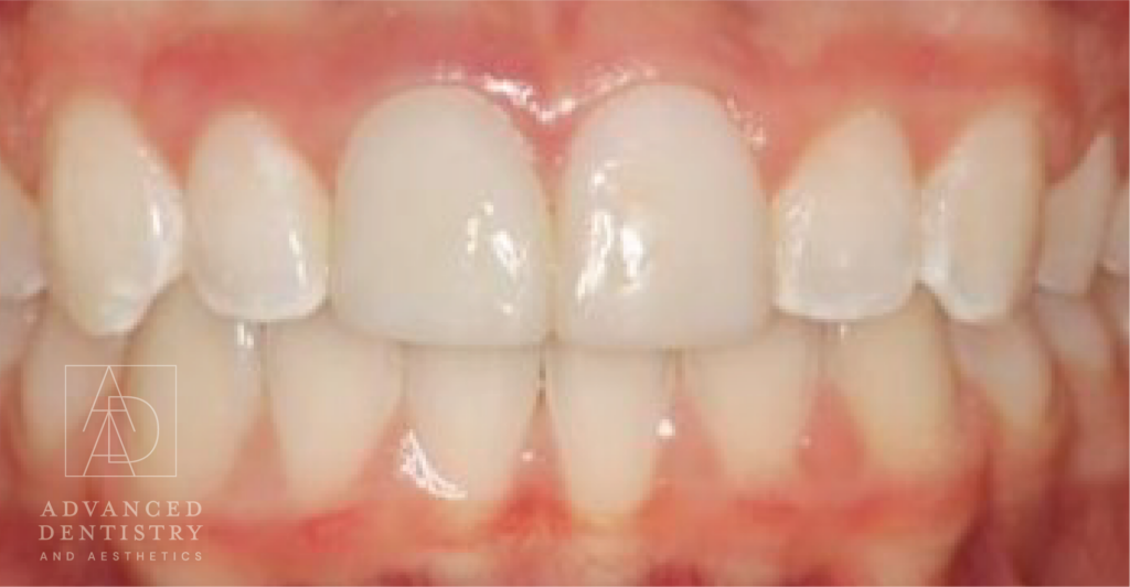
Bonding Case #1

Correction of unwanted white spots on her centrals.

Bonding Case #2

With bonding we were able to fix the chipping on 5 of his front teeth.

Featured Bonding Case

Bonding front four teeth: this patient came in after seeing bonding done on another of Dr Peterson’s patients. She wasn’t happy with previous bonding on her peg laterals and the grey translucency of her center teeth.

Bonding Case #4

Hiding discoloration on centrals.

Bonding Case #5

Bonding direct veneer front 4 teeth.

Bonding Case #6

Peg laterals and small chip on the central.

Bonding Case #7

This patients wasn’t happy with the shape and condition of previous bonding. Dr. Peterson replaced the bonding for their peg lateral incisors.

Bonding Case #8

This patient came not sure what he wanted, but knew he wanted his front teeth to look more uniform. He didn’t hate the look of his teeth but wanted Dr Peterson’s opinion. Dr Peterson identified small lateral incisors and tipping on the k-9’s that detracted from the smile. He was able to show the patient quickly how things would look different by adding the filling material over the teeth without bonding it. The patient was able to see how much he liked the change and asked for it to be done permanently ASAP. Dr Peterson does this routinely during his bonding consultations so the patient knows what the result will be and that it meets their goal before ever committing to treatment.

Bonding Case #9

Bonding, the natural repair of the broken tooth after an accident.

Bonding Case #10

Addition of bonding at the gumline following wear and recession that rejuvenates the look of the teeth.

Bonding Case #11

This patient was unhappy with the wear and “bell shape of her front teeth.” We added to the outer contours of her centrals and restored length to her laterals. She was thrilled with the results!